Torus fracture
A Torus fracture, also known as a buckle fracture is the most common fracture in children.[1] It is a common occurrence following a fall, as the wrist absorbs most of the impact and compresses the bony cortex on one side and remains intact on the other, creating a bulging effect.[2] As the bulge is only on one side of the bone, this injury is can be classified as an incomplete fracture. The compressive force is provided by the trabeculae and is longitudinal to the axis of the long bone, meaning that the fracture itself is orthogonal to that axis.[3] The word "torus" originates from the Latin word "protuberance."[4]


Signs and symptoms
Torus fractures are low risk and may cause acute pain. As the bone buckles (or crushes), instead of breaking, they are a stable injury as there is no displacement of the bone.[5] This mechanism is analogous to the crumple zones in cars. As with other fractures, the site of fracture may be tender to touch and cause a sharp pain if pressure is exerted on the injured area.
Risk factors
Physical activities or sports such as bike riding or climbing increase the associated risk for buckle fractures in the potential event of a collision or fall. As aforementioned, the most common buckle fracture is of the distal radius in the forearm, which typically originates from a Fall Onto an Outstretched Hand (FOOSH).[6] Such orthopaedic injuries are distinctive in children as their bones are softer and in a dynamic state of bone growth and development, with a higher collagen to bone ratio so incomplete fractures such as the buckle fracture are a more common occurrence.[7]
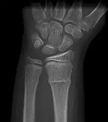
Diagnosis
Buckle fracturs can be identified by performing a radiograph. The diagnosis of a torus fracture is made from both anterior/posterior and lateral projections. The typical features include:
- The buckling of cortical bone, which may appear as a small bulge or protuberance in the radius or ulna.
- The bone may have a slight angulation.[8]
Treatment
There is no established 'standard' treatment for buckle fractures. However, in 2022 the largest and highest quality treatment study was published about this injury in the Lancet medical journal - called the FORCE Study[9] (see infographic in images). The study was conducted throughout the UK in 21 emergency departments. This study fairly allocated children (through randomisation) to either splint and routine follow-up, or a bandage and no follow-up. 965 children were in this study, which showed equivalent results for pain scores, function and complications between the treatments. This offered clinicians, parents and young people reassurance that this fracture will heal well, without complications and immobilisation and follow-up is almost always not needed.
Furthermore, a national guideline from the UK National Institute for Health and Care Excellence (NICE), which was published before the FORCE study, identified that all treatments appeared safe and recommended either a removable splint or a bandage, without the need for a follow-up.[10]
Other studies have also shown that, with removable splints that can be taken off at home, without the need for outpatient clinics, parental satisfaction of nearly 100% is achieved.[11]

The FORCE study also published a package of dissemination materials (i.e. cartoons/ leaflets/ treatment pathways) for parents, children and clinicians to best implement the results in clinical practice - available here.
References
- Naranje, SM; Erali, RA; Warner WC, Jr; Sawyer, JR; Kelly, DM (June 2016). "Epidemiology of Pediatric Fractures Presenting to Emergency Departments in the United States". Journal of Pediatric Orthopedics. 36 (4): e45-8. doi:10.1097/BPO.0000000000000595. PMID 26177059. S2CID 36351361.
- Della-Giustina, K; Della-Giustina, DA (November 1999). "Emergency department evaluation and treatment of pediatric orthopedic injuries". Emergency Medicine Clinics of North America. 17 (4): 895–922, vii. doi:10.1016/s0733-8627(05)70103-6. PMID 10584108.
- Sharp, JW; Edwards, RM (August 2019). "Core curriculum illustration: pediatric buckle fracture of the distal radius". Emergency Radiology. 26 (4): 483–484. doi:10.1007/s10140-017-1524-4. PMID 28593329. S2CID 3984890.
- Wheeless, Clifford R.; Nunley, James A.; Urbaniak, James R. Wheeless' Textbook of Orthopaedics. Data Trace Internet Publishing, LLC.
- Randsborg, PH; Sivertsen, EA (October 2009). "Distal radius fractures in children: substantial difference in stability between buckle and greenstick fractures". Acta Orthopaedica. 80 (5): 585–9. doi:10.3109/17453670903316850. PMC 2823323. PMID 19916694.
- van Bosse, HJ; Patel, RJ; Thacker, M; Sala, DA (July 2005). "Minimalistic approach to treating wrist torus fractures". Journal of Pediatric Orthopedics. 25 (4): 495–500. doi:10.1097/01.bpo.0000161098.38716.9b. PMID 15958903. S2CID 33574847.
- Firmin, F; Crouch, R (July 2009). "Splinting versus casting of "torus" fractures to the distal radius in the paediatric patient presenting at the emergency department (ED): a literature review". International Emergency Nursing. 17 (3): 173–8. doi:10.1016/j.ienj.2009.03.006. PMID 19577205.
- Patrice Eiff, M.; L. Hatch, Robert (2003). "Boning up on common pediatric fractures". Contemporary Pediatrics.
- Perry, Daniel C.; Achten, Juul; Knight, Ruth; Appelbe, Duncan; Dutton, Susan J.; Dritsaki, Melina; Mason, James M.; Roland, Damian T.; Messahel, Shrouk; Widnall, James; Costa, Matthew L.; Ahmad, Rahail; Alcock, Anastasia; Appelboam, Andrew; Armour, Lisa (2022-07-02). "Immobilisation of torus fractures of the wrist in children (FORCE): a randomised controlled equivalence trial in the UK". The Lancet. 400 (10345): 39–47. doi:10.1016/S0140-6736(22)01015-7. ISSN 0140-6736. PMID 35780790.
- Nice.org.uk. 2020. Overview | Fractures (Non-Complex): Assessment And Management | Guidance | NICE. [online] Available at: https://www.nice.org.uk/guidance/ng38 [Accessed 21 December 2020].
- Solan, MC; Rees, R; Daly, K (July 2002). "Current management of torus fractures of the distal radius". Injury. 33 (6): 503–5. doi:10.1016/s0020-1383(01)00198-x. PMID 12098547.