Cuneiform fracture
A Cuneiform fracture is an injury of the foot in which one or more of the Cuneiform bones are fractured.[3]
| Cuneiform fracture | |
|---|---|
| Other names | Medial Cuneiform Fracture, Intermediate Cuneiform Fracture, Lateral Cuneiform Fracture, Isolated Cuneiform Fracture, Cuneiform Dislocation, Isolated medial cuneiform fracture, Cuneiform Stress Fracture[1] |
![]() | |
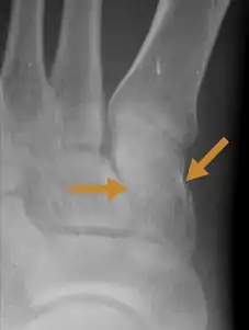
| An X-ray of a Medial cuneiform fracture | |
| Specialty | Orthopedics |
| Symptoms | pain, swelling, restricted movements, difficulty walking. [2] |
Causes
While cuneiform fractures are fairly rare, the most commonly fractured cuneiform bone is the Medial cuneiform, typically the cause for a cuneiform fracture is by physical trauma (direct blow) to the cuneiform, as well as the result of an avulsion fracture and a result of axial load,[4] but can also be the result of a stress reaction that progressed with continued weight-bearing and physical activity.[5]
References
- https://wikism.org/Cuneiform_Fracture#cite_note-1
- https://www.eurorad.org/case/16192#:~:text=The%20patient%20usually%20presents%20with,radiographs%20especially%20in%20emergency%20services.
- https://radiopaedia.org/articles/medial-cuneiform-fracture?lang=us
- https://pure.ulster.ac.uk/en/publications/isolated-medial-cuneiform-fractures-a-systematic-search-and-quali
- https://wikism.org/Cuneiform_Fracture
This article is issued from Wikipedia. The text is licensed under Creative Commons - Attribution - Sharealike. Additional terms may apply for the media files.
