Chalkstick fracture
Chalkstick fractures are fractures, typically of long bones, in which the fracture is transverse to the long axis of the bone, like a broken stick of chalk.[1] A healthy long bone typically breaks like a hard woody stick as the collagen in the matrix adds remarkable flexibility to the mineral and the energy can run up and down the growth rings of bone. The bones of children will even follow a greenstick fracture pattern.

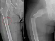
Chalkstick fracture due to bone metastasis of breast cancer. Left image shows the metastasis, on the right a pathological fracture a few days later.
Chalkstick fractures are particularly common in Paget's disease of bone, and osteopetrosis.[2] It is also seen in cases of fused spine as in a patient with ankylosing spondylitis.[3]
References
- Musculoskeletal imaging. [S.l.]: Elsevier Saunders. 2014. p. 305. ISBN 9781455708130.
- Avioli, Louis V.; Krane, Stephen M. (2013). Metabolic Bone Disease, Volume 2. Academic Press. p. 520. ISBN 9781483267920.
- Tomar, SuryapratapSingh (2018). "Chalkstick fracture: A catastrophic injury". Asian Journal of Neurosurgery. 13 (2): 383–385. doi:10.4103/ajns.AJNS_167_13. PMC 5898110. PMID 29682039.
This article is issued from Wikipedia. The text is licensed under Creative Commons - Attribution - Sharealike. Additional terms may apply for the media files.