Intraarticular fracture
An intraarticular fracture is a bone fracture in which the break crosses into the surface of a joint. This always results in damage to the cartilage.[1] Compared to extraarticular fractures, intraarticular have a higher risk for developing long-term complications, such as posttraumatic osteoarthritis.[2] Treatment considerations include restoring joint surface congruity and maintaining joint alignment and stability.

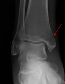
Example of an intraarticular fracture of the medial malliolus extending in the talocrural ankle joint.
See also
References
- "Intraarticular Fracture Discussion".
- McKinley, Todd O.; Borrelli, Joseph; D’Lima, Darryl D.; Furman, Bridgette D.; Giannoudis, Peter V. (2017-03-25). "Basic Science of Intraarticular Fractures and Posttraumatic Osteoarthritis". Journal of Orthopaedic Trauma. 24 (9): 567–570. doi:10.1097/BOT.0b013e3181ed298d. ISSN 0890-5339. PMC 3662545. PMID 20736796.
This article is issued from Wikipedia. The text is licensed under Creative Commons - Attribution - Sharealike. Additional terms may apply for the media files.