Halo nevus
Halo nevus (also known as "Leukoderma acquisitum centrifugum," "Perinevoid vitiligo," and "Sutton nevus"[1]: 689 ) is a mole that is surrounded by a depigmented ring or 'halo'.
| Halo nevus | |
|---|---|
| Other names | Leukoderma acquisitum centrifugum of sutton |
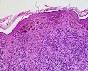
![]() | |
| Specialty | Dermatology |
Presentation
Halo nevi are also known as Sutton's nevi, or leukoderma acquisitum centrifugum. Halo nevi are named such because they are a mole (nevus) that is surrounded by an area of depigmentation that resembles a halo.
Halo nevi are associated with vitiligo. Sometimes the pale (hypopigmented) areas will spontaneously regress, and pigment returns.
Causes
The formation of a halo surrounding a nevi is believed to occur when certain white blood cells called CD8+ T lymphocytes destroy the pigment-producing cells of the skin (melanocytes).[2] The cause for the attack is unknown.[3]
Diagnosis
Treatment

As halo nevi are only of cosmetic significance, no treatment is required,[4] and patients will be asymptomatic. Although halo nevi are harmless, it is important to monitor the lesion on regular basis.[5] Watch out for any changes in appearance of existing or new halo nevi. If there is any change in appearance or is associated with pain, itch, and infection, a doctor should be consulted immediately to exclude the possibility of melanoma.
Epidemiology
Halo nevi are estimated to be present in approximately 1% of the general population, and are found to be more prevalent in people with vitiligo, malignant melanoma,[3] or Turner syndrome.[6] All races and sexes are equally susceptible to this disease, although a familial tendency has been reported. The average age of onset is in a person's teenage years.
See also
References
- James, William D.; Berger, Timothy G.; et al. (2006). Andrews' Diseases of the Skin: clinical Dermatology. Saunders Elsevier. ISBN 0-7216-2921-0.
- Mundinger, Gerhard S. (January 16, 2014). "Halo Phenomenon". New England Journal of Medicine. 370 (3): 262. doi:10.1056/NEJMicm1306230. PMID 24428471.
- "Halo Nevus - skinsite.com". Retrieved August 4, 2008.
- "CareFair.com - Halo Nevis". Retrieved August 4, 2008.
- "DermaTalk - Halo Nevus".
- Halo Nevis at eMedicine
External links
