Blue nevus

A blue nevus is a type of coloured mole, typically a single well-defined blue-black bump.[1][2]

Blue nevus
Other namesBlue neuronevus, dermal melanocytoma, nevus coeruleus, nevus bleu[1]
Blue nevus
SpecialtyDermatology
SymptomsSingle well-defined blue-black bump[2]
ComplicationsRarely malignant transformation[3]
TypesDendritic, cellular[2]
CausesUnclear[3]
Diagnostic methodVisualisation, dermoscopy[4]
Differential diagnosisDermatofibroma, melanoma[3][5]
TreatmentMonitoring, excision[3]
PrognosisGood[3]
FrequencyFemale>male[2]

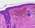
The blue colour is caused by the pigment being deep in the skin.[4]

Diagnosis is by visualisation and dermoscopy.[4] A biopsy is sometimes performed, or the whole lesion surgically removed.[3] The outcome is generally good but there is a small chance of cancerous transformation.[3] Differential diagnosis includes dermatofibroma and melanoma.[3]

Blue nevi are more common in females than males.[2] It was first studied in 1906 by Tièche, a student of Josef Jadassohn.[6]

Classification

Blue nevi may be divided into the following types:[7]:701

  • A patch blue nevus (also known as an "acquired dermal melanocytosis", and "dermal melanocyte hamartoma") is a cutaneous condition characterized by a diffusely gray-blue area that may have superimposed darker macules.[1]
  • A blue nevus of Jadassohn–Tièche (also known as a "common blue nevus", and "nevus ceruleus") is a cutaneous condition characterized by a steel-blue papule or nodule.[7]:701
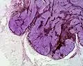
  • A cellular blue nevus is a cutaneous condition characterized by large, firm, blue or blue-black nodules.[7]:701
  • An epithelioid blue nevus is a cutaneous condition most commonly seen in patients with the Carney complex.[7]:701
  • A deep penetrating nevus is a type of benign melanocytic skin tumor characterized, as its name suggests, by penetration into the deep dermis and/or subcutis. Smudged chromatic is a typical finding. In some cases mitotic figures or atypical melanocytic cytology are seen, potentially mimicking a malignant melanoma. Evaluation by an expert skin pathologist is advisable in some cases to help differentiate from invasive melanoma.[7]:701
  • An amelanotic blue nevus (also known as a "hypomelanotic blue nevus") is a cutaneous condition characterized by mild atypia and pleomorphism.[7]:701
  • A malignant blue nevus is a cutaneous condition characterized by a sheet-like growth pattern, mitoses, necrosis, and cellular atypia.[1][7]:701

See also

References

  1. Rapini, Ronald P.; Bolognia, Jean L.; Jorizzo, Joseph L. (2007). Dermatology: 2-Volume Set. St. Louis: Mosby. p. 1722. ISBN 978-1-4160-2999-1.
  2. Johnstone, Ronald B. (2017). "32. Lentigines and melanomas". Weedon's Skin Pathology Essentials (2nd ed.). Elsevier. p. 545. ISBN 978-0-7020-6830-0.
  3. Austad, Steve S.; Athalye, Leela (2021). "Blue Nevus". StatPearls. StatPearls Publishing. PMID 31747181.
  4. "Blue naevus". dermnetnz.org. Retrieved 21 October 2021.
  5. Blue+Nevi at the U.S. National Library of Medicine Medical Subject Headings (MeSH)
  6. Sreeremya, S. (17 April 2018). "Blue Nevus". International Journal of Molecular Biotechnology. 4 (1): 1–4. doi:10.37628/ijmb.v4i1.255 (inactive 31 December 2022).{{cite journal}}: CS1 maint: DOI inactive as of December 2022 (link)
  7. James, William D.; Berger, Timothy G.; et al. (2006). Andrews' Diseases of the Skin: clinical Dermatology. Saunders Elsevier. ISBN 0-7216-2921-0.
This article is issued from Wikipedia. The text is licensed under Creative Commons - Attribution - Sharealike. Additional terms may apply for the media files.