Villoglandular adenocarcinoma of the cervix
Villoglandular adenocarcinoma of the cervix is a rare type of cervical cancer that, in relation to other cervical cancers, is typically found in younger women and has a better prognosis.[1]
| Villoglandular adenocarcinoma of the cervix | |
|---|---|
| Other names | Villoglandular papillary adenocarcinoma, papillary villoglandular adenocarcinoma, well-differentiated villoglandular adenocarcinoma (VGA) |
![]() | |
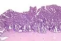
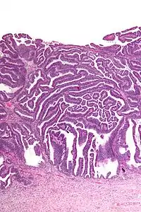
| Micrograph of a villoglandular adenocarcinoma the cervix. H&E stain. | |
| Specialty | Pathology, gynecology |
A similar lesion, villoglandular adenocarcinoma of the endometrium, may arise from the inner lining of the uterus, the endometrium.[2]
Signs and symptoms
The signs and symptoms are similar to other cervical cancers and may include post-coital bleeding and/or pain during intercourse (dyspareunia). Early lesions may be completely asymptomatic.
Cause
Diagnosis
The diagnosis is based on tissue examination, e.g. biopsy.
The name of the lesion describes it microscopic appearance. It has nipple-like structures with fibrovascular cores (papillae) that are long in relation to their width (villus-like), which are covered with a glandular pseudostratified columnar epithelium.
Very low magnification
Intermediate magnification
Very high magnification
Treatment
The treatment is dependent on the stage. As the prognosis of this tumour is usually good, fertility sparing approaches (conization, cervicectomy) may be viable treatment options.
References
- Korach, J.; Machtinger, R.; Perri, T.; Vicus, D.; Segal, J.; Fridman, E.; Ben-Baruch, G. (2009). "Villoglandular papillary adenocarcinoma of the uterine cervix: a diagnostic challenge". Acta Obstet Gynecol Scand. 88 (3): 355–8. doi:10.1080/00016340902730359. PMID 19172445. S2CID 5835426.
- Zaino, RJ.; Kurman, RJ.; Brunetto, VL.; Morrow, CP.; Bentley, RC.; Cappellari, JO.; Bitterman, P. (Nov 1998). "Villoglandular adenocarcinoma of the endometrium: a clinicopathologic study of 61 cases: a gynecologic oncology group study". Am J Surg Pathol. 22 (11): 1379–85. doi:10.1097/00000478-199811000-00008. PMID 9808130.
