Steatohepatitis
Steatohepatitis is a type of fatty liver disease, characterized by inflammation of the liver with concurrent fat accumulation in liver. Mere deposition of fat in the liver is termed steatosis, and together these constitute fatty liver changes.[1]
| Steatohepatitis | |
|---|---|
![]() | |
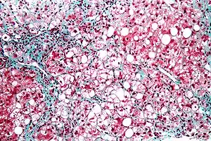
| Micrograph of steatohepatitis. Liver biopsy using trichrome stain | |
| Specialty | Gastroenterology |
There are two main types of fatty liver disease: alcohol-related fatty liver disease and non-alcoholic fatty liver disease (NAFLD).[2] Risk factors for NAFLD include diabetes, obesity and metabolic syndrome. When inflammation is present it is referred to as alcoholic steatohepatitis and nonalcoholic steatohepatitis (NASH).[3] Steatohepatitis of either cause may progress to cirrhosis, and NASH is now believed to be a frequent cause of unexplained cirrhosis (at least in Western societies). NASH is also associated with lysosomal acid lipase deficiency.
The word is from steato-, meaning "fat" and hepatitis, meaning "inflammation of the liver".
Alcoholic steatohepatitis
Chronic alcohol intake commonly causes steatohepatitis.[1]
Non-alcoholic steatohepatitis (NASH)
Non-alcoholic steatohepatitis is fatty liver disease due to causes other than alcohol. No pharmacological treatment has received approval as of 2015 for NASH.[4] Some studies suggest diet, exercise, and antiglycemic drugs may alter the course of the disease. General recommendations include improving metabolic risk factors and reducing alcohol intake.[5][6] NASH was first described in 1980 in a series of patients of the Mayo Clinic.[7] Its relevance and high prevalence were recognized mainly in the 1990s. Some think NASH is a diagnosis of exclusion, and many cases may in fact be due to other causes.[8]
References
- "Alcoholic Steatohepatitis – Causes, Symptoms And Treatment". 2011-07-08. Retrieved 21 Dec 2016.
- "Steatohepatitis and Steatosis (Fatty Liver)". Retrieved 17 May 2016.
- Vuppalanchi R, Chalasani N (January 2009). "Nonalcoholic fatty liver disease and nonalcoholic steatohepatitis: Selected practical issues in their evaluation and management". Hepatology. 49 (1): 306–17. doi:10.1002/hep.22603. PMC 2766096. PMID 19065650.
- Ratziu, V; Goodman, Z; Sanyal, A (April 2015). "Current efforts and trends in the treatment of NASH". Journal of Hepatology. 62 (1 Suppl): S65-75. doi:10.1016/j.jhep.2015.02.041. PMID 25920092.
- Adams LA, Angulo P (2006). "Treatment of non-alcoholic fatty liver disease". Postgrad Med J. 82 (967): 315–22. doi:10.1136/pgmj.2005.042200. PMC 2563793. PMID 16679470.
- Veena J, Muragundla A, Sidgiddi S, Subramaniam S (2014). "Non-alcoholic fatty liver disease: need for a balanced nutritional source". Br. J. Nutr. 112 (11): 1858–72. doi:10.1017/S0007114514002591. PMID 25274101.
- Ludwig J, Viggiano TR, McGill DB, Oh BJ (1980). "Nonalcoholic steatohepatitis: Mayo Clinic experiences with a hitherto unnamed disease". Mayo Clin Proc. 55 (7): 434–438. PMID 7382552.
- Cassiman D, Jaeken J (2008). "NASH may be trash". Gut. 57 (2): 141–4. doi:10.1136/gut.2007.123240. PMID 18192446. S2CID 206946004.
