Chronic pancreatitis
Chronic pancreatitis is a long-standing inflammation of the pancreas that alters the organ's normal structure and functions.[1] It can present as episodes of acute inflammation in a previously injured pancreas, or as chronic damage with persistent pain or malabsorption. It is a disease process characterized by irreversible damage to the pancreas as distinct from reversible changes in acute pancreatitis.[5][6]
| Chronic pancreatitis | |
|---|---|
| Other names | Pancreatitis - chronic - discharge[1] |
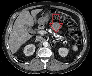
![]() | |
| Axial CT showing multiple calcifications in the pancreas in a patient with chronic pancreatitis | |
| Specialty | Gastroenterology |
| Symptoms | Nausea and vomiting[2][3] |
| Complications | Exocrine pancreatic insufficiency, Endocrine pancreatic insufficiency |
| Causes | Alcohol(ism), Immune disorder[4] |
| Diagnostic method | Serum trypsinogen, Fecal fat test[2] |
| Treatment | Pain medicines, avoiding alcohol(and smoking), among other possible management efforts[2] |
| Frequency | 50 per 100,000 persons (prevalence) |
Signs and symptoms
- Upper abdominal pain: Upper abdominal pain which increases after drinking or eating, lessens when fasting or sitting and leaning forward. Some people may not suffer pain.[2][3]
- Nausea and vomiting[2][3]
- Steatorrhea: Frequent, oily, foul-smelling bowel movements. Damage to the pancreas reduces the production of pancreatic enzymes that aid digestion, which can result in malnutrition. Fats and nutrients are not absorbed properly, leading to loose, greasy stool known as steatorrhea.[2][3]
- Weight loss even when eating habits and amounts are normal.[2]
- Diabetes type 1: Chronic pancreatitis can affect the ability of the pancreatic islets to produce insulin to regulate glucose levels, leading to diabetes type 1.[3] Symptoms of diabetes type 1 include increased hunger and thirst, frequent urination, weight loss, and fatigue.[7]
Causes
Among the causes of chronic pancreatitis are the following:[4]
- Alcohol
- Autoimmune disorders
- Intraductal obstruction
- Idiopathic pancreatitis
- Tumors
- Ischemia
- Calcific stones
The relationship between etiologic factors, genetic predisposition, and the pace of disease progression requires further clarification, though recent research indicates smoking may be a high-risk factor to develop chronic pancreatitis.[8] In a small group of patients chronic pancreatitis has been shown to be hereditary. Almost all patients with cystic fibrosis have established chronic pancreatitis, usually from birth. Cystic fibrosis gene mutations have also been identified in patients with chronic pancreatitis but in whom there were no other manifestations of cystic fibrosis. Obstruction of the pancreatic duct because of either a benign or malignant process may result in chronic pancreatitis.[9]
Pathophysiology

The mechanism of chronic pancreatitis viewed from a genetic standpoint indicates early onset of severe epigastric pain beginning in childhood. It is an autosomal dominant disease, chronic pancreatitis disease is identified in the cationic trypsinogen gene PRSS1, and mutation, R122H. R122H is the most common mutation for hereditary chronic pancreatitis with replacement of arginine with histidine at amino acid position 122 of the trypsinogen protein. There are, of course, other mechanisms – alcohol, malnutrition, smoking – each exhibiting its own effect on the pancreas.[10]
Diagnosis
The diagnosis of chronic pancreatitis is based on tests on pancreatic structure and function. Serum amylase and lipase may be moderately elevated in cases of chronic pancreatitis. A secretin stimulation test is considered the best test for diagnosis of chronic pancreatitis. Other tests used to determine chronic pancreatitis are serum trypsinogen, computed tomography, ultrasound and biopsy.[11][12]
When chronic pancreatitis is caused by genetic factors, elevations in ESR, IgG4, rheumatoid factor, ANA and anti-smooth muscle antibody may be detected.[13]
On CT scan, pancreatic and bile duct dilatation, atrophy of pancreas, multiple calcifications of the pancreas, and enlargement of pancreatic glands can be found.[14]
On MRI scan, there is a low T1 signal due to inflammation, fibrosis, focal lesions, and calcifications. In those who are given a contrast agent, there would be a higher T1 signal with late gadolinium enhancement due to compression from the fibrotic areas. The overall thickness of the pancreas will be reduced. Magnetic resonance cholangiopancreatography (MRCP) is the most useful option in accessing the pancreatic duct and bile duct.[14]
Treatment
The different treatment options for management of chronic pancreatitis are medical measures, therapeutic endoscopy and surgery.[15] Treatment is directed, when possible, to the underlying cause, and to relieve pain and malabsorption. Insulin dependent diabetes mellitus may occur and need long-term insulin therapy.[16] The abdominal pain can be very severe and require high doses of analgesics, sometimes including opiates. Alcohol cessation and dietary modifications (low-fat diet) are important to manage pain and slow the calcific process.[15] Antioxidants may help but it is unclear if the benefits are meaningful.[17]
Pancreatic enzymes
Pancreatic enzyme replacement is often effective in treating the malabsorption and steatorrhea associated with chronic pancreatitis. Treatment of CP consists of administration of a solution of pancreatic enzymes with meals. Some patients do have pain reduction with enzyme replacement and since they are relatively safe, giving enzyme replacement to a chronic pancreatitis patient is an acceptable step in treatment for most patients. Treatment may be more likely to be successful in those without involvement of large ducts and those with idiopathic pancreatitis.[18]
Surgery
Surgery to treat chronic pancreatitis tends to be divided into two areas – resectional and drainage procedures. Among the reasons to opt for surgery is if there is a pseudocyst, fistula, ascites, or a fixed obstruction.[4] The Puestow procedure may be used for treatment of chronic pancreatitis.
Epidemiology
The annual incidence of chronic pancreatitis is 5 to 12 per 100,000 persons, the prevalence is 50 per 100,000 persons.[19] In 2021, Venturi reported that pancreas is able to absorb in great quantity radioactive cesium (Cs-134 and Cs-137) causing chronic pancreatitis and probably pancreatic cancer with damage of pancreatic islands with Type 3c (pancreatogenic) diabetes.[20]
See also
References
- "Chronic pancreatitis: MedlinePlus Medical Encyclopedia". www.nlm.nih.gov. Retrieved 2015-11-29.
-
"Chronic pancreatitis".
When scarring of the pancreas occurs, the organ is no longer able to make the right amount of these enzymes. As a result, your body may be unable to digest fat and key elements of food. Damage to the parts of the pancreas that make insulin may lead to diabetes
- "What is chronic pancreatitis?".
diabetes; upper abdominal pain that is frequently chronic and debilitating. Pain is the most common symptom of chronic pancreatitis. The pain may increase after drinking or eating and lessens when fasting or sitting and leaning forward. However, some people with chronic pancreatitis report little to no pain; from google (chronic pancreatitis smelly poop) result 1
- "Chronic Pancreatitis: Practice Essentials, Background, Pathophysiology". 2018-11-11.
{{cite journal}}: Cite journal requires|journal=(help) - Brock C, Nielsen LM, Drewes AM, Lelic D (14 November 2013). "Pathophysiology of chronic pancreatitis". World Journal of Gastroenterology. 19 (42): 7231–7240. doi:10.3748/wjg.v19.i42.7231. PMC 3831204. PMID 24259953. Retrieved 9 July 2021.
- "Chronic Pancreatitis". The Lecturio Medical Concept Library. 11 November 2020. Retrieved 9 July 2021.
- Torpy, JM (Sep 2007). "Type 1 Diabetes". JAMA. 298 (12): 1472. doi:10.1001/jama.298.12.1472. PMID 17895465.
- Tolstrup, J. S.; Kristiansen, L.; Becker, U.; Grønbaek, M. (2009). "Smoking and Risk of Acute and Chronic Pancreatitis Among Women and Men". Archives of Internal Medicine. 169 (6): 603–609. doi:10.1001/archinternmed.2008.601. PMID 19307524.
- Choices, NHS. "Chronic pancreatitis - Causes - NHS Choices". www.nhs.uk. Retrieved 2015-11-29.
- Brock, Christina; Nielsen, Lecia Møller; Lelic, Dina; Drewes, Asbjørn Mohr (2013-11-14). "Pathophysiology of chronic pancreatitis". World Journal of Gastroenterology. 19 (42): 7231–7240. doi:10.3748/wjg.v19.i42.7231. ISSN 1007-9327. PMC 3831204. PMID 24259953.
- "Chronic Pancreatitis. Hereditary pancreas disorders information | Patient". Patient. Retrieved 2015-11-29.
- "Acute Pancreatitis. Pancreatitis Symptoms and Information | Patient". Patient. Retrieved 2015-11-29.
- Kapural, Leonardo (2014-12-03). Chronic Abdominal Pain: An Evidence-Based, Comprehensive Guide to Clinical Management. Springer. p. 91. ISBN 9781493919925.
- Kamat, Rohan; Gupta, Pankaj; Rana, Surinder (2019-04-01). "Imaging in chronic pancreatitis: State of the art review". Indian Journal of Radiology and Imaging. 29 (2): 201–210. doi:10.4103/ijri.IJRI_484_18. ISSN 0971-3026. PMC 6639861. PMID 31367093.
- American Gastroenterological Association Medical Position Statement (1998). "American Gastroenterological Association Medical Position Statement: treatment of pain in chronic pancreatitis". Gastroenterology. 115 (3): 763–4. doi:10.1016/S0016-5085(98)70156-8. PMID 9721174.
{{cite journal}}:|author=has generic name (help) – via ScienceDirect (Subscription may be required or content may be available in libraries.)|Available online 27 October 2005 - Ewald, Nils; Hardt, Philip D (2013-11-14). "Diagnosis and treatment of diabetes mellitus in chronic pancreatitis". World Journal of Gastroenterology. 19 (42): 7276–7281. doi:10.3748/wjg.v19.i42.7276. ISSN 1007-9327. PMC 3831209. PMID 24259958.
- Ahmed Ali, U; Jens, S; Busch, OR; Keus, F; van Goor, H; Gooszen, HG; Boermeester, MA (Aug 21, 2014). "Antioxidants for pain in chronic pancreatitis" (PDF). The Cochrane Database of Systematic Reviews. 8 (8): CD008945. doi:10.1002/14651858.CD008945.pub2. PMID 25144441. S2CID 20024219.
- Sikkens, E. C. M.; Cahen, D. L.; Kuipers, E. J.; Bruno, M. J. (2010-06-01). "Pancreatic enzyme replacement therapy in chronic pancreatitis". Best Practice & Research. Clinical Gastroenterology. 24 (3): 337–347. doi:10.1016/j.bpg.2010.03.006. ISSN 1532-1916. PMID 20510833. – via ScienceDirect (Subscription may be required or content may be available in libraries.)
- Yadav, Dhiraj; Lowenfels, Albert B. (2013-06-01). "The Epidemiology of Pancreatitis and Pancreatic Cancer". Gastroenterology. 144 (6): 1252–1261. doi:10.1053/j.gastro.2013.01.068. ISSN 0016-5085. PMC 3662544. PMID 23622135.
- Venturi, Sebastiano (January 2021). "Cesium in Biology, Pancreatic Cancer, and Controversy in High and Low Radiation Exposure Damage—Scientific, Environmental, Geopolitical, and Economic Aspects". International Journal of Environmental Research and Public Health. 18 (17): 8934. doi:10.3390/ijerph18178934. PMC 8431133. PMID 34501532.
Text was copied from this source, which is available under Creative Commons Attribution 4.0 International License.
Further reading
- Yan, M‐X; Li, Y‐Q (2006-04-01). "Gall stones and chronic pancreatitis: the black box in between". Postgraduate Medical Journal. 82 (966): 254–258. doi:10.1136/pgmj.2005.037192. ISSN 0032-5473. PMC 2579631. PMID 16597812.
- Lerch, Markus M.; Gorelick, Fred S. (2013). "Models of Acute and Chronic Pancreatitis". Gastroenterology. 144 (6): 1180–1193. doi:10.1053/j.gastro.2012.12.043. PMID 23622127. Retrieved 2015-11-29.
- Beyer, Georg; Habtezion, Aida; Werner, Jens; Lerch, Markus M.; Mayerle, Julia (15 August 2020). "Chronic pancreatitis". The Lancet. 396 (10249): 499–512. doi:10.1016/S0140-6736(20)31318-0. ISSN 0140-6736. PMID 32798493. S2CID 221114304. Retrieved 1 January 2021.
