Steatocystoma simplex
Steatocystoma simplex is a skin condition characterized by a skin lesion that occurs with equal frequency in adult women and men, and is typically found on the face, trunk, or extremities.[1]: 679 It is related to Steatocystoma multiplex.[2]
| Steatocystoma simplex | |
|---|---|
| Other names | Simple sebaceous duct cyst, solitary steatocystoma |
![]() | |
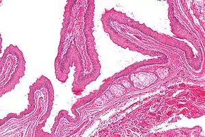
| Micrograph of a steatocystoma showing the characteristic corrugated eosinophilic lining. H&E stain | |
| Specialty | Dermatology |

Relative incidence of cutaneous cysts. Steatocystoma is labeled at right.
References
- James, William D.; Berger, Timothy G.; et al. (2006). Andrews' Diseases of the Skin: Clinical Dermatology. Saunders Elsevier. ISBN 0-7216-2921-0.
- Davey, Mathew. "Steatocystoma Multiplex". Retrieved 25 May 2011.
This article is issued from Wikipedia. The text is licensed under Creative Commons - Attribution - Sharealike. Additional terms may apply for the media files.
