Mediastinum

The mediastinum (from Medieval Latin: mediastinus, lit.'midway'[2]) is the central compartment of the thoracic cavity. Surrounded by loose connective tissue, it is an undelineated region that contains a group of structures within the thorax, namely the heart and its vessels, the esophagus, the trachea, the phrenic and cardiac nerves, the thoracic duct, the thymus and the lymph nodes of the central chest.

Mediastinum
3D rendering of a high resolution computed tomography of the thorax, with mediastinum marked in blue.
Mediastinum. The division between superior and inferior is at the sternal angle.
Details
Identifiers
Latinmediastinum[1]
MeSHD008482
TA98A07.1.02.101
TA23333
FMA9826
Anatomical terminology

Anatomy

The mediastinum can be seen from a frontal view in this illustration, with the superior mediastinum labeled a, and the pericardial cavity, which is part of the inferior mediastinum, labeled d.
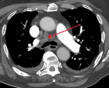
CT Thorax (axial, Mediastinal window)

The mediastinum lies within the thorax and is enclosed on the right and left by pleurae. It is surrounded by the chest wall in front, the lungs to the sides and the spine at the back. It extends from the sternum in front to the vertebral column behind.[3][4] It contains all the organs of the thorax except the lungs.[4][5] It is continuous with the loose connective tissue of the neck.

Mediastinum

The mediastinum can be divided into an upper (or superior) and lower (or inferior) part:

  • The superior mediastinum starts at the superior thoracic aperture and ends at the thoracic plane.
  • The inferior mediastinum from this level to the diaphragm. This lower part is subdivided into three regions, all relative to the pericardium – the anterior mediastinum being in front of the pericardium, the middle mediastinum contains the pericardium and its contents, and the posterior mediastinum being behind the pericardium.[6]

Anatomists, surgeons, and clinical radiologists compartmentalize the mediastinum differently. For instance, in the radiological scheme of Felson, there are only three compartments (anterior, middle, and posterior), and the heart is part of the middle (inferior) mediastinum.[7]

Thoracic plane

The transverse thoracic plane, thoracic plane, plane of Louis or plane of Ludwig is an important anatomical plane at the level of the sternal angle and the T4/T5 intervertebral disc.[8][9][10] It serves as an imaginary boundary that separates the superior and inferior mediastinum.[8][9][10]

A number of important anatomical structures and transitions occur at the level of the thoracic plane, including:

Superior mediastinum

The superior mediastinum is bounded:

  • superiorly by the thoracic inlet, the upper opening of the thorax;
  • inferiorly by the transverse thoracic plane. which is an imaginary plane passing from the sternal angle anteriorly to the lower border of the body of the 4th thoracic vertebra posteriorly;
  • laterally by the pleurae;
  • anteriorly by the manubrium of the sternum;
  • posteriorly by the first four thoracic vertebral bodies.
Contents
Mediastinum anatomy.
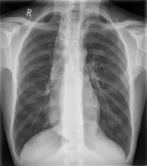
Some mediastinal structures on a chest radiograph.
Contents

Anterior inferior mediastinum

Is bounded:

Contents
Contents

Middle inferior mediastinum

Bounded: pericardial sac – It contains the vital organs and is classified into the serous and fibrous pericardium.[4]

Contents
Contents

Posterior inferior mediastinum

Is bounded:

  • Anteriorly by (from above downwards): bifurcation of trachea; pulmonary vessels; fibrous pericardium and posterior sloping surface of diaphragm
  • Inferiorly by the thoracic surface of the diaphragm (below);
  • Superiorly by the transverse thoracic plane;
  • Posteriorly by the bodies of the vertebral column from the lower border of the fifth to the twelfth thoracic vertebra (behind);[4]
  • Laterally by the mediastinal pleura (on either side).

Clinical significance

Mediastinal adenopathy

The mediastinum is frequently the site of involvement of various tumors:

  • Anterior mediastinum: substernal thyroid goiters, lymphoma, thymoma, and teratoma.
  • Middle mediastinum: lymphadenopathy, metastatic disease such as from small cell carcinoma from the lung.
  • Posterior mediastinum: Neurogenic tumors, either from the nerve sheath (mostly benign) or elsewhere (mostly malignant).

Mediastinitis is inflammation of the tissues in the mediastinum, usually bacterial and due to rupture of organs in the mediastinum. As the infection can progress very quickly, this is a serious condition.

Pneumomediastinum is the presence of air in the mediastinum, which in some cases can lead to pneumothorax, pneumoperitoneum, and pneumopericardium if left untreated. However, that does not always occur and sometimes those conditions are actually the cause, not the result, of pneumomediastinum. These conditions frequently accompany Boerhaave syndrome, or spontaneous esophageal rupture.

Widening

Widened mediastinum
Other namesMediastinal widening
Widened mediastinum in a patient with achalasia

Widened mediastinum/mediastinal widening is where the mediastinum has a width greater than 6 cm on an upright PA chest X-ray or 8 cm on supine AP chest film.[11]

A widened mediastinum can be indicative of several pathologies:[12][13]

See also

References

Public domain This article incorporates text in the public domain from page 1090 of the 20th edition of Gray's Anatomy (1918)

  1. "A index W LA".
  2. "Mediastinum dictionary definition - mediastinum defined". www.yourdictionary.com.
  3. Fong, K. M.; Windsor, M.; Bowman, R. V.; Duhig, E. (2006-01-01), "TUMORS, MALIGNANT | Carcinoma, Lymph Node Involvement", in Laurent, Geoffrey J.; Shapiro, Steven D. (eds.), Encyclopedia of Respiratory Medicine, Oxford: Academic Press, pp. 366–373, doi:10.1016/b0-12-370879-6/00407-5, ISBN 978-0-12-370879-3, retrieved 2020-11-17
  4. Ng, Wai-Kuen (2008-01-01), Bibbo, Marluce; Wilbur, David (eds.), "CHAPTER 26 - Mediastinum", Comprehensive Cytopathology (Third Edition), Edinburgh: W.B. Saunders, pp. 773–809, ISBN 978-1-4160-4208-2, retrieved 2020-11-17
  5. Cheng, Guang-Shing; Varghese, Thomas K.; Park, David R. (2016-01-01), Broaddus, V. Courtney; Mason, Robert J.; Ernst, Joel D.; King, Talmadge E. (eds.), "83 - Mediastinal Tumors and Cysts", Murray and Nadel's Textbook of Respiratory Medicine (Sixth Edition), Philadelphia: W.B. Saunders, pp. 1478–1495.e38, doi:10.1016/b978-1-4557-3383-5.00083-x, ISBN 978-1-4557-3383-5, retrieved 2020-11-17
  6. Breul, Rainer (2012), "The deeper fasciae of the neck and ventral torso", Fascia: The Tensional Network of the Human Body, Elsevier, pp. 45–52, doi:10.1016/b978-0-7020-3425-1.00041-6, ISBN 978-0-7020-3425-1, retrieved 2020-11-17
  7. Goodman, Lawrence. Felson's Principles of Chest Roentgenology.
  8. "Thoracic Wall, Pleura, and Pericardium – Dissector Answers". Archived from the original on September 1, 2012.
  9. "Cell Biology and Anatomy - School of Medicine - University of South Carolina". dba.med.sc.edu.
  10. "UAMS Department of Neurobiology and Developmental Sciences - Topographical Anatomy of the Thorax". anatomy.uams.edu.
  11. D'Souza, Donna. "Thoracic aortic injury | Radiology Reference Article | Radiopaedia.org". radiopaedia.org.
  12. Geusens; Pans, S.; Prinsloo, J.; Fourneau, I. (2005). "The widened mediastinum in trauma patients". European Journal of Emergency Medicine. 12 (4): 179–184. doi:10.1097/00063110-200508000-00006. PMID 16034263.
  13. Richardson; Wilson, M. E.; Miller, F. B. (1990). "The widened mediastinum. Diagnostic and therapeutic priorities". Annals of Surgery. 211 (6): 731–736, discussion 736–7. doi:10.1097/00000658-199006000-00012. PMC 1358125. PMID 2357135.
  14. Chandra S, Laor YG (April 1975). "Lung scan and wide mediastinum". J. Nucl. Med. 16 (4): 324–5. PMID 1113190.
  15. von Kodolitsch Y, Nienaber C, Dieckmann C, Schwartz A, Hofmann T, Brekenfeld C, Nicolas V, Berger J, Meinertz T (2004). "Chest radiography for the diagnosis of acute aortic syndrome". Am J Med. 116 (2): 73–7. doi:10.1016/j.amjmed.2003.08.030. PMID 14715319.
  16. Jernigan JA, Stephens DS, Ashford DA, et al. (2001). "Bioterrorism-related inhalational anthrax: the first 10 cases reported in the United States". Emerging Infect. Dis. 7 (6): 933–44. doi:10.3201/eid0706.010604. PMC 2631903. PMID 11747719.
  17. Gideon P. Naudé; Fred S. Bongard; Demetrios Demetriades (2003). Trauma secrets. Elsevier Health Sciences. pp. 95–. ISBN 978-1-56053-506-5. Retrieved 19 April 2010.
  • Anatomy figure: 21:01-03 at Human Anatomy Online, SUNY Downstate Medical Center – "Divisions of the mediastinum."
  • Anatomy figure: 21:02-03 at Human Anatomy Online, SUNY Downstate Medical Center – "The anatomical divisions of the inferior mediastinum."
  • thoraxlesson3 at The Anatomy Lesson by Wesley Norman (Georgetown University) – "Subdivisions of the Thoracic Cavity"
This article is issued from Wikipedia. The text is licensed under Creative Commons - Attribution - Sharealike. Additional terms may apply for the media files.