Pelvic congestion syndrome
Pelvic congestion syndrome, also known as pelvic vein incompetence, is a long term condition believed to be due to enlarged veins in the lower abdomen.[1][3] The condition may cause chronic pain, such as a constant dull ache, which can be worsened by standing or sex.[1] Pain in the legs or lower back may also occur.[1]
| Pelvic venous disease | |
|---|---|
| Other names | Pelvic congestion syndrome |
![]() | |
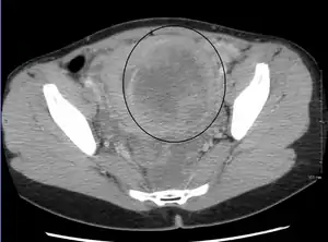
| A very large (9 cm) fibroid of the uterus which is causing pelvic congestion syndrome as seen on X-ray computed tomography | |
| Specialty | [Interventional Radiology], gynecology |
| Symptoms | Chronic pelvic pain[1] |
| Diagnostic method | Ultrasound, CT scan, MRI, laparoscopy[1] |
| Medication | Medroxyprogesterone, nonsteroidal anti-inflammatory drugs (NSAIDs)[1] |
| Frequency | 30% of women[2] |
While the condition is believed to be due to blood flowing back into pelvic veins as a result of faulty valves in the veins, this hypothesis is not certain.[3] The condition may occur or worsen during pregnancy.[1] The presence of estrogen is believed to be involved in the mechanism.[1] Diagnosis may be supported by ultrasound, CT scan, MRI, or laparoscopy.[1]
Early treatment options include medroxyprogesterone or nonsteroidal anti-inflammatory drugs (NSAIDs).[1] Surgery to block the varicose veins may also be done.[1] About 30% of women of reproductive age are affected.[2] It is believed to be the cause of about a third of chronic pelvic pain cases.[4] While pelvic venous insufficiency was identified in the 1850s it was only linked with pelvic pain in the 1940s.[4]
Signs and symptoms
Women with this condition experience a constant pain that may be dull and aching, but is occasionally more acute. The pain is worse at the end of the day and after long periods of standing, and those affected get relief when they lie down. The pain is worse during or after sexual intercourse, and can be worse just before the onset of the menstrual period.[5]
Women with pelvic congestion syndrome have a larger uterus and a thicker endometrium. 56% of women manifest cystic changes to the ovaries,[6] and many report other symptoms, such as dysmenorrhea, back pain, vaginal discharge, abdominal bloating, mood swings or depression, and fatigue.[5]
Causes
- Local pelvic hormonal milieu
- Venous outflow obstruction, such as May-Thurner syndrome, Nutcracker syndrome, Budd-Chiari syndrome, or left renal vein thrombosis
- External compression due to tumor (including fibroids, endometriosis), or scarring [7]
Diagnosis

Diagnosis can be made using ultrasound or laparoscopy testing. The condition can also be diagnosed with a venogram, CT scan, or an MRI. Ultrasound is the diagnostic tool most commonly used.[5] Some research has suggested that transvaginal duplex ultrasound is the best test for pelvic venous reflux.[8]
Treatment
Early treatment options include pain medication using nonsteroidal anti-inflammatory drugs,[5] and suppression of ovarian function.[6]
More advanced treatment includes a minimally invasive procedure performed by an Interventional Radiologist. This minimally invasive procedure involves stopping blood within the pelvic varicose veins using a minimally invasive procedure called a catheter directed embolization. The procedure rarely requires an overnight stay in hospital and is usually performed as an outpatient procedure, and is done using local anesthetic and moderate sedation.[9] Patients report an 80% success rate, as measured by the amount of pain reduction experienced.[9]
See also
References
- "Pelvic Congestion Syndrome - Women's Health Issues". Merck Manuals Consumer Version. Retrieved 27 September 2019.
- Cheema, Omer Saadat; Singh, Pramvir (2020). "Pelvic Congeston Syndrome". Statpearls. PMID 32809625.
Text was copied from this source, which is available under a Creative Commons Attribution 4.0 International License. - Champaneria, R; Shah, L; Moss, J; Gupta, JK; Birch, J; Middleton, LJ; Daniels, JP (January 2016). "The relationship between pelvic vein incompetence and chronic pelvic pain in women: systematic reviews of diagnosis and treatment effectiveness". Health Technology Assessment. 20 (5): 1โ108. doi:10.3310/hta20050. PMC 4781546. PMID 26789334.
- Brown, CL; Rizer, M; Alexander, R; Sharpe EE, 3rd; Rochon, PJ (March 2018). "Pelvic Congestion Syndrome: Systematic Review of Treatment Success". Seminars in Interventional Radiology. 35 (1): 35โ40. doi:10.1055/s-0038-1636519. PMC 5886772. PMID 29628614.
- "Dysmenorrhea". Merck Online Medical Manual. December 2008. Retrieved December 23, 2010.
- Phillip Reginald, MD. "Pelvic Congestion". The International Pelvic Pain Society. Archived from the original (PDF) on September 16, 2014. Retrieved December 23, 2010.
- Rutherford's vascular surgery references. [S.l.]: Elsevier Saunders. 2014. ISBN 978-0323243056.
- Whiteley M, Dos Santos S, Harrison C, Holdstock J, Lopez A (Oct 2014). "Transvaginal duplex ultrasonography appears to be the gold standard investigation for the haemodynamic evaluation of pelvic venous reflux in the ovarian and internal iliac veins in women". Phlebology. 30 (10): 706โ13. doi:10.1177/0268355514554638. PMID 25324278. S2CID 25053851.
- "Pelvic Pain (Pelvic Congestion Syndrome)". Johns Hopkins. Retrieved December 23, 2010.
