Generalized lymphadenopathy
Generalized lymphadenopathy is swollen lymph glands in many areas of the body.[1]
| Generalized lymphadenopathy | |
|---|---|
![]() | |
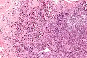
| Lymphadenopathy due to systemic lupus erythematosus with characteristic necrosis and haematoxylin bodies. H&E stain. | |
| Specialty | Infectious disease |
Usually this is in response to a body-wide infectious disease such as influenza and will go away once the person has recovered, but sometimes it can persist long-term, even when there is no obvious cause of disease. This is then called persistent generalized lymphadenopathy (PGL).
Causes
- Infection :
- Viral : Infectious mononucleosis, Infective hepatitis, AIDS
- Bacterial : Tuberculosis, Brucellosis, secondary syphilis, Tularemia
- Protozoal : Toxoplasmosis
- Fungal : Histoplasmosis
- Malignant :
- Immunological :
- Systemic lupus erythematosus
- Felty's syndrome
- Still's disease
- Drug hypersensitivity as Hydantoin, Hydralazine, Allopurinol
- Misc. :
References
- "Lymphadenopathy and Malignancy - December 1, 2002 - American Family Physician". www.aafp.org. Archived from the original on 2002-12-17.
External links
This article is issued from Wikipedia. The text is licensed under Creative Commons - Attribution - Sharealike. Additional terms may apply for the media files.
