Galactography
Galactography or ductography (or galactogram, ductogram) is a medical diagnostic procedure for viewing the milk ducts. The procedure involves the radiography of the ducts after injection of a radiopaque substance into the duct system through the nipple. The procedure is used for investigating the pathology of nipple discharge.
| Galactography | |
|---|---|
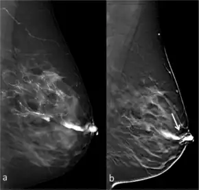
![]() Full-field digital (FFD)-galactography (left) and Digital breast tomosynthesis (DBT)-galactography (right) showing intraductal papilloma. | |
| Synonyms | Ductography |
| Purpose | diagnostic procedure for viewing the milk ducts. |
Galactography is capable of detecting smaller abnormalities than mammograms, MRI or ultrasound tests. With galactography, a larger part of the ductal system can be visualized than with the endoscopic investigation of a duct (called galactoscopy or ductoscopy).
Causes for nipple discharge include duct ectasia, intraductal papilloma, and occasionally ductal carcinoma in situ or invasive ductal carcinoma.[1]
The standard treatment of galactographically suspicious breast lesions is to perform a surgical intervention on the concerned duct or ducts: if the discharge clearly stems from a single duct, then the excision of the duct (microdochectomy) is indicated;[2] if the discharge comes from several ducts or if no specific duct could be determined, then a subareolar resection of the ducts (Hadfield's procedure) is performed instead.[2]
To avoid infection, galactography should not be performed when the nipple discharge contains pus.[3]
See also
- Galaxy
References
- William E. G. Thomas; Norbert Senninger (1 February 2008). Short Stay Surgery. Springer Science & Business Media. p. 136. ISBN 978-3-540-69028-3.
- Nigel Rawlinson; Derek Alderson (29 September 2010). Surgery: Diagnosis and Management. John Wiley & Sons. p. 219. ISBN 978-1-4443-9122-0.
- "Breast ductography". radiopaedia.org. Retrieved 4 November 2014.
-galactography_and_Digital_breast_tomosynthesis_(DBT)-galactography.png.webp)