Reproduction - Testis
Normal Histology
testis location, general structureThe testis [T] is a paired organ, located bilaterally between the abdominal wall [AW] and the swim bladder [SB]. At the level of this section, the testis is further bounded by the liver [L] and mesenchymal tissue [mt] (mainly adipose tissue); dorsally it is adjacent to the kidney and ventrally to the intestines (not visible on this level).
|
|
|
The axial section below of an adult male zebrafish is from the rostral part of the abdominal cavity, where the testis [T] is in the upper part, between swim bladder [sb] and abdominal wall. The area of testis will show largely similar in more caudal sections. The abdominal organs shown in this image are liver [L], pancreas [arrows], spleen [S], intestinal loops [I]. Major blood vessels in this section are dorsal aorta [upper arrow] and posterior cardinal vein [lower arrow], embedded in the kidney [k] intestinal arteries [arrows], intestinal veins [arrows] and epigastric vein [arrow], partly embedded in the liver. The horizontal skeletogenous septum [horizontal line] separates the epaxialis [em] and hypaxialis muscles [hm], which are inserted to this septum and to the spine [sp], and which are also bound to the skin. In the midline, the epaxial muscles insert to the vertical skeletogonous septum [vertical line]. Although organised in myotomes which are oriented perpendicular to the length axis of the fish, these muscles appear cross-sectioned due to their waved course [middle diagram]. The epaxialis includes the dorsal supracarinalis muscles [upper outline], the hypaxialis includes the ventral infracarinalis muscles [lower outline]. The lateralis superficialis muscles [left/right outlines] overlay the peripheral part of the horizontal septum. Pleural rib structures [arrows] can be observed within the hypaxialis. |
|
|
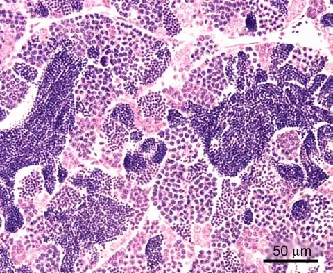
structure of the mature testis - tubules | |
|
the zebrafish testis is composed of anastomosing seminiferous tubules In these images, the tubule lumina are highlighted (white) to enhance the testis structure; a masked and unmasked image are given for comparison. |
|
|
This structure is in line with the characterization of teleost testis by Grier [Grier-HJ, Linton-JR, Leatherland-JF, and De Vlaming-VL. Structural evidence for two different testicular types in teleost fishes. Am. J. Anat. 159: 331-345; 1980. Grier-HJ. Comparative organization of Sertoli cells including the Sertoli cell barrier; in: Russell-LD and Griswold-MD (eds.), The Sertoli Cell: 703-739. Clearwater FL, Cache River Press 1993.]. |
|
|
Each tubule is bounded by a basement membrane and a connective tissue sheet [bm/ct] (see Details below). Most tubules are covered with seminiferous epithelium [se], the structure of which is shown on the section below.
Mature sperm is voided into the tubular lumen, which than serves as a storage compartment.
The tubular lumen system is conntected to main efferent tubules (ducts [d]), which are located at the periphery of the organ (i.e. rostral and caudal poles, and the against median border, as shown here); these efferent tubules have no or only small clusters of seminiferous tissue. These areas should be avoided when analysing the status of the testis. |
|
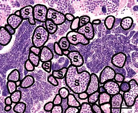
structure of the mature testis - spermatocyststhe seminiferous tubules are lined with cysts |
|
|
|
|
|
In the image below it is also evident, that the lining seminiferous tissue is built of clusters of cells, the so called spermatocysts [S]. |
Note, that zebrafish have continuous reproduction, and therefore show a balanced presence of proliferating, differentiating, maturing spermatogenic stages, and mature sperm. In contrast, the testis of seasonal breeders shows predominance of one of these successive stages predominates; these testes may be classified accordingly. |
|
|
|
structure of the mature testis - details | |
|
The seminiferous tubules [T] are separated by thin strands of interstitial connective tissue [highlighted in right image]. This interstitial tissue contains connective tissue cells [c] and Leydig cells [L] (intermediate sized cells with a round-oval nucleus), which produce androgen when stimulated by the pituitary-derived gonadotropic hormone.
|
Each cluster of meiotic cells that arises from spermatogonial division shows synchronous maturation, and such spermatocysts [outlined in red, left image] are enveloped by the thin layer of the membrane of lobule boundary cells [m], which are adapted Sertoli cells. When spermatogenesis is completed, these lobule boundary cells open up to void the mature sperm into the tubular lumen.
|
|
|
|
|
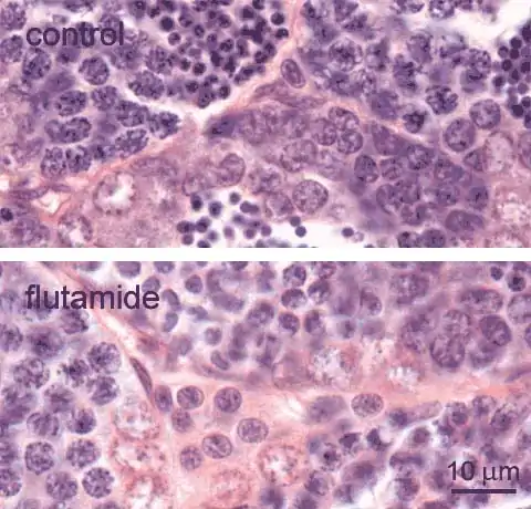
Adult male zebrafish; H&E staining |
|
structure of the mature testis - Leydig cells | |
|
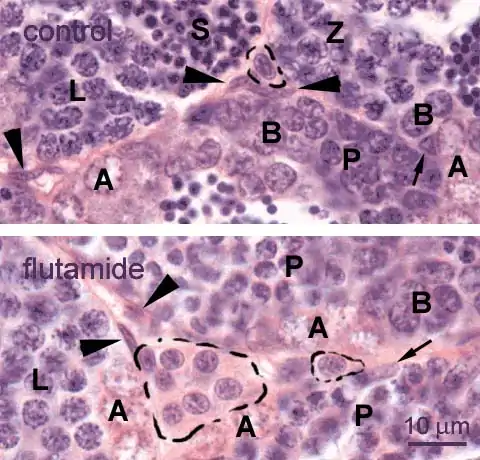
Leydig cells [outlined], also known as interstital cells, are found in the interstitial space between the testis tubules. These cells have regularly shaped round or oval nuclei. In the control testis, they occur solitairy or in small clusters; larger clusters are observed after exposure to the anti-androgen flutamide, shown here [lower image] for comparison. Occasionally, such larger clusters may also be present at the periphery of the control testis.
Note, that apart from Leydig cells, other cells [arrowheads], such as fibroblasts and smooth muscle cells, are also present in the interstitium.
|
Other testis structures are: spermatogonia A [A], spermatogonia B [B], spermatocytes in leptotene [L], early zygotene [Z], and pachytene [P] stages; spermatids [S]; Sertoli cells [arrows].
|
|
|
|
|
Adult male zebrafish, control (top), and exposed to 1 mg flutamide /L (bottom); H&E staining |
|
structure of the mature testis - Sertoli cells | |
|
Sertoli cells [arrows] are characterized by their irregular shaped nuclei. These cells are found at the luminal side of the basement membrane of the spermatogenic tubules. They occur either solitairy, or in close association with the spermatogenic cysts, which they enclose; in this condition they are also known as lobule boundary cells. |
|
testis - Estrogen receptors | |
|
Luciferase protein expression in testis of adult of adult wild-type (wt) or transgenic (tg) zebrafish exposed for 48 h to 1000 nM E2. In the transgenic zebrafish, an estrogen binding sequence linked to a TATA box and luciferase reporter gene was stably introduced.
|
|
















