Navigation
Main Page | Introduction in Pathology | Adjustment Reactions | Cell and Tissue Damage | Exogenic Noxa
Procedures of Tissue Preparation | Glossary | Resources |
Degenerative vessel diseases
Atherosclerosis
Et.: Aging processes, ROS, hypertonia, dyslipoproteinemia, smoking, diabetes mellitus, hyperfibrinogenemia (, hyperhomocysteinemia) and others.
Micro: Necrosis of the media with calcifications, detritus, foam cells (macrophages which have accumulated lipids) and cholesterol clefts, fibrosis of the intima. Thickening of the arterial wall with stenosis.
Gross: Fatty streaks, calcification, ulceration, thrombotic material.
Common localisations:
- Coronary heart disease (CHD) - Klinik: Angina pectoris, Myokardinfarkt.
- Peripheral artery occlusive disease (pAVK) - Klinik: Claudicatio intermittens („Schaufensterkrankheit“), Ulcus cruris arteriosum. Klinische Stadieneinteilung nach Fontaine-Ratschow: 1) Keine Symptome, 2) Ischämiesschmerz bei Gehstrecke a) > 200m, b) < 200m, 3) Ruheschmerz, 4) Nekrosen.
- Zerebrale Mikroangiopathie oder Stenosen der hinversorgenden Arterien - Klinik: TIA, RIND, PRIND, apoplektischer Insult, SAE, vaskuläre Demenz.
- Carotis stenosis - Klinik: Asymptomatisch oder Symptome einer zerebralen Minderperfusion, Emboliequelle.
- Stenosis of the kidney arteries - Klinik: Sekundärer arterieller Hypertonus.
- Proximal stenosis of the subclavian artery - Klinik: Subclavian-Steal-Phänomen (Versorgung des gleichseitigen Armes retrograd über die gleichseitige A. vertebralis durch Flußumkehr aus dem Hirnkreislauf, letzlich also Versorgung über die kontralaterale Vertebralarterie). Symptome: Schwindel und Armparästhesien (DD: AMI) bei Armbelastung und Überkopfarbeiten.
![]() Atherosklose. |
![]() Atherosklerose der Aorta. |
![]() Atherosklerotischer Plaque in der A. carotis, Endarteriektomiepräparat. |
Arteriosklerose Typ MÖNCKEBERG
Monckeberg's medial calcific sclerosis
Mikro: isolierte Verkalkung der Media v.a. muskulärer Arterien, Kalkspangen ("Gänsegurgelarterien"), das Endothel bleibt intakt!
Idiopathische Medianekrose ERDHEIM-GSELL
Ät.: Z.B. MARFAN-Syndrom
Mikro: Degeneration der Media elastischer Arterien mit Bildung von Pseudozysten.
Kompl.: Aortendissektion
Varikosis
Primäre Varikosis
Syn.: Krampfadern
Ät./RF: Bindegewebsschwäche, Klappendefekte, Langes Stehen, Adipositas, Schwangerschaft.
Path.: Degeneration und Aussackung der epifaszialen oberflächlichen Venen.
Makro: Die Venen sind dilatiert und geschlängelt.
Formen:
- Stammvarikose - V. saphena magna, V. saphena parva
- Seitenastvarikose - Z.B. V. accessoria lateralis
- Perforantenvarikose - DODD, BOYD, COCKETT,...
- Retikulär- und Besenreiservarikose
Klinik: Schweregefühl, Ödeme bes. abends, dumpfe Schmerzen, Wadenkrämpfe, Zeichen der chronisch venösen Insuffizienz.
Kompl.: Thrombose, Ulcera crurum venosum bei chronisch venöser Insuffizienz.
Sekundäre Varicosis
Degeneration epifaszialer Venen im Rahmen eines posthrombotischen Syndroms.
Primäre Vaskulitis
Panarteriitis nodosa
Mikro: Proliferation der Intima und fibrinoide Nekrose
Makro: Hauptsächlich die kleinen bis mittelgroßen Arterien sind betroffen. Es kommt zur Ausbildung perlschnurartig angeordneter kleiner Knötchen
D.: Muskelbiopsie
Weblink: DermIS - Panarteriitis nodosa
Riesenzellarteriitiden
Arteriitis temporalis (HORTON)
Erstmanifestation mit etwa 60 Jahren.
Mikro: Endothelproliferation, Zerstörung der Elastica interna, Auftreten mehrkerniger Riesenzellen.
Makro: Schwellung der A. temporalis.
Klinik: Schmerzhafte Schwellung der Temporalarterie, Schläfenkopfschmerz, Kauschmerzen, Sehstörungen bis hin zur Erblindung, BSG-Beschleunigung.
Weblink: DermIS - Arteriitis temporalis
TAKAYASU-Arteriitis
pulseless disease
Betrifft eher junge Frauen
Mikro: Unspezifische Entzündung der Media, Riesenzellen
Makro: Aorta oder Pulmonalarterie sind betroffen
Thrombangiitis obliterans
Syn.: Morbus WINIWARTER-BUERGER
Ät.: Disposition + Rauchen
Makro: Befall der mittleren und kleinen Extremitätengefäße, perivasale Entzündung
Klinik: pAVK-Beschwerden, Ulzera, Amputation
Nekrotisierende Vaskulitis
Vorkommen z.B. bei:
- Morbus WEGENER
- Panarteriitis nodosa
- CHURG-STRAUSS-Syndrom
Klinik: Multiorganerkrankung, Purpura, Nekrosen.
Sekundäre Vaskulitis
Vasculitis allergica
Immunkomplexvaskulitis
Ät./Pg.: Typ III-Reaktion: Lösliche bakterielle, virale, Autoantigene oder Medikamente -> Bildung von zirkulierenden Immunkomplexen -> Ablagerung in Gefäßen -> Entzündungsreaktion.
Klinik: Palpable Purpura, hämorrhagische Blasen, disseminierte konfluierende Nekrosen, Ulcera.
Weblinks: DermIS - Vasculitis allergica
Aneurysma
Aneurysmen sind Aussackungen arterieller Gefäße (die Gefäßerweiterungen bei venösen Gefäßen heißen Ektasien).
Aneurysma verum
Morph.: Es sind alle Wandschichten betroffen, die Aussackung kann fusiforme (spindelförmig) oder sacciforme (sackförmig) sein.
Beispiele:
- Aortenaneurysma - Kompl.: Ruptur, Embolie, Harnleiterstauung, aorto-duodenale Fistel.
- Hirnbasisaneurysma - Kompl.: Subarachnoidalblutung
Aneurysma spurium
Syn.: Falsches Aneurysma
Durch Verletzung einer Arterie bildet sich paravasal ein Hämatom, das organisiert wird und einen Hohlraum formt, der schließlich mit Endothel ausgekleidet wird.
Akute Aortendissektion
Syn.: Aneurysma dissecans (nicht ganz treffend)
Ät.: Atherosklerose, MARFAN-Syndrom, EHLERS-DANLOS-Syndrom, Zystische Medianekrose ERDHEIM-GSELL oder Mesaortitis syphilitica bei der Lues
Lok: Meist als (thorakale) Aortendissektion
Morph.: Endothelriss (entry) mit Ausbildung eines zweiten Lumens zwischen Endothel und Media oder Media und Adventitia. Evtl. findet das falsche Lumen durch einen zweiten Riß (re-entry) wieder einen Anschluß an das Gefäßlumen.
Einteilung nach Stanford:
- Typ A: Lokalisation des entry an der Aorta aszendens
- Typ B: Lokalisation des entry am Aortenbogen oder Aorta deszendens
Klinik: Schlagartig beginnendes thorakales Schmerzereignis, "messerstichartig"
Kompl: Koronarkompression, Perikardtamponade, Hämatothorax, Verblutung.
Prg.: Hohe Letalität (30 - 40 % in den ersten 24 Stunden, mehr als 1 % pro Stunde, weitere 30 - 40 % versterben in den folgenden Tagen und Wochen, Überleben: 10 - 20 %)! Wegen der Seltenheit im Vergleich zu anderen häufigen Differentialdiagnosen (instabile Angina pectoris, BWS-Syndrom) häufig Therapieverzögerung. Einfache Diagnose: CT.
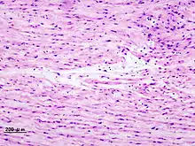
![]() Thorakale Aortendissktion ohne Hinweis auf ein Marfan-Syndrom, OP-Präparat, Viktoriablau/H&E. |
![]() Idem, fokale myxoide Degeneration wie bei zystischer Medianekrose, H&E. |
Thrombose
Intravitale Blutgerinnung in einem Gefäß oder einer Herzhöhle.
Ep.: Inzidenz der TVT: 2-3/1.000/a, dritthäufigste, akute kardiovaskuläre Erkrankung nach Herzinfarkt und Schlaganfall.
Ät.: VIRCHOW-Trias:
- Gestörte Hämodynamik (z.B. bei Varikosis, Immobilisation, Vorhofflimmern)
- Endothelalteration
- Gerinnungsstörungen (z.B. Hyperkoagulabilität)
RF.: Hüft-, Becken-, Beinfrakturen, Hüft-, Knieersatz, größere chirurgische Eingriffe, größerere Traumata, Rückenmarksverletzungen, Arthroskopie, Malignome, pulmonale oder kardiale Einflussstauung, Hormonersatztherapie (HRT), orale Kontrazeptiva, Paresen nach Schlaganfall, Postpartalperiode, Z.n. nach Thombembolie, Thrombophilie (Bsp.: Faktor-V-Leiden-Mutation, AT III-Mangel, Protein C- oder S-Mangel, APC-Resistenz, Hyperhomocysteinämie, Antiphospholipid-Antikörper, persistierende Faktor-V-Erhöhung), Immobilisierung, Alter, Laparoskopie, Adipositas, prä partum, Varikosis, Rauchen.
Formen:
- Herz: Vorhofthrombus meist im linken Vorhof (Herzohr) bei Vorhofflimmern
- Gefäße:
- Thrombophlebitis - Entzündung und Thrombose oberflächlicher Venen.
- Phlebothrombose - Tiefe-Venen-Thrombose (TVT), meist in den Bein- oder Beckenvenen.
- Phlegmasia caerulea dolens - Plötzlicher Verschluss aller Venen einer Extremität.
SF:
- Sinusvenenthrombose (SVT) - Ät.: Eitrige HNO-Infekte, Hyperkoagulabilität, Schwangerschaft. Klinik: Kopfschmerzen, neurologisch-psychiatrische Störungen, faziale Stauungszeichen, Hirndruckzeichen.
- Paget-von-Schroetter-Syndrom - Vena axillaris- oder subclavia-Thrombose. Ät.: Armbelastung (Überkopfarbeiten, ruckartige Bewegungen) -> Endothelläsion -> lokale Thrombosierung.
- LEMIERRE-Syndrom - Thrombose der V. jugularis, assoziiert mit Fusobacterium necrophorum (HNO-Infekte, bes. Peritonsillarabszesse).
Pg. der Gefäßthrombose: Beginn meist an den Taschenklappen und appositionelles Thrombuswachstum nach unten (descendierend) oder oben (aszendierend).
Klinik bei symptomatischer TVT: Ziehende Schmerzen im ganzen Bein, oft nachlassend in Horizontallage, ziehender muskelkaterartiger Schmerz in der Wade, Schweregefühl des Beins. Die Extremität ist ödematös geschwollen, warm, rot-livide verfärbt (Zyanose) und glänzend, oft Thrombophlebitis auf dem Fußrücken (PRATT-Warnvenen). Klinische Zeichen: Plantarschmerzen beim Auftreten (PAYR), Wadenschmerz bei Druck (LOWENBERG), Wadenschmerz bei Dorsalextension des Fußes (HOMAN), Schmerz entlang der tiefen Venen (MEYER), sichtbare dilatierte Kollateralvenen (PRATT).
Kompl.: Thrombusabriss und Embolisation in die Lunge (TVT) oder das Gehirn u.a. Organe (Vorhofthrombembolie oder bei gekreuzter TVT-Embolie), sekundär: Bindegewebiger Umbau mit Rekanalisation und Zerstörung der Venenklappen und folgendem postthrombotischen Syndrom (PTS, chronisch venöse Insuffizienz) mit Stauungsdermatitis und Ulcus cruris venosum.
Thrombophlebitis
Entzündung/Thrombosierung epifaszialer Venenabschnitte.
Ät.: Stase, Trauma, Thrombophilie, Paraneoplasie, idiopathisch, Vaskulitis, Kollagenose (Phlebitis saltans!), i.v. Injektionen, Venenkatheter, infektiös.
Klinik: Klassische Entzündungszeichen.
Abscheidungsthrombus
Ein Abscheidungsthrombus entsteht nur bei Restzirkulation.
Morph.: Geriffelt-geschichteter grauer Thrombus (grau-rot)
Gerinnungsthrombus
Entstehung bei Gefäßverschluß (geronnene Blutsäule).
Morph.: Roter Thrombus (dunkelrot)
Embolie
Hämatogene Verschleppung von Material in ein anderes Organ
Arterielle Thrombembolie
Ursprung ist in 80 % der Fälle das linke Herz, in 20 % sind es Arterien
Venöse Thrombembolie
Ursprung tiefe Bein-, Becken-, Halsvenen
Formen der Embolie:
- Zentrale fulminante Lungenembolie durch Verlegung der Lungenstrombahn
- Periphere Lungenembolie
- Paradoxe/gekreuzte Lungenembolie (der Thrombembolus gelangt über das Foramen ovale in den Körperkreislauf)
Fettembolie
Ät.: Knochenbrüche, Polytrauma, schwere Weichteilverletzungen.
Die Fettembolie endet tödlich, wenn mehr als 30 % der Lungenkapillaren verschlossen sind (zentrale Fettembolie). Z.T. passieren die Fetttröpfchen auch die Lunge und landen in Gehirn (Purpura cerebri), Herz, Niere u.a. Organen, wo sie Gefäße verstopfen und pertechiale Blutungen hervorrufen.
Fruchtwasserembolie
Eindringen von Fruchtwasser in eröffnete maternale venöse Gefäße bei starken Presswehen unter der Geburt.
Luftembolie
Venöse Luftembolie:
Ät.: Lufteintritt (> 30 ml) in die venöse Strombahn, z.B. über einen zentralen Venenkatheter, bei Operationen an den Lebervenen oder bei Beatmung Frühgeborener.
Pg.: Bildung von Blutschaum im Herzen mit Rechtsherzversagen.
Arterielle Luftembolie: Hier können schon wenige Milliliter tödlich sein (Gehirn).
Gasembolie
Syn.: Caisson Krankheit, Taucherkrankheit
Ät.: schnelles Auftauchen führt zum äußeren Druckabfall und Aufschäumen des im Blut gelösten Stickstoffs (analog wie beim Öffnen einer Sprudelflasche) -> Gasembolie.
Knochenmarksembolie
Ät.: Reanimation, Trauma, Frakturen/Ostosynthese.
Tumorembolie
Hämatogene Streuung von Tumorzellen und Arrest in kleinen Gefäßen/Kapillaren.
Fremdkörperembolien
Ät.: i.v.-Drogenkonsum, Dialyse, Herzklappen
Bakterielle Embolie
Septikopyämie, Ausschwemmung bakterieller Mikrothromben
Chronisch venöse Insuffizienz (CVI)
Keine Krankheitsentität, sondern Syndrom bei verschiedenen venösen Grunderkrankungen.
Manifestationen abhängig vom Schweregrad:
- Corona phlebectatica paraplantaris, Phlebödem
- Siderose (Purpura jaune d'ocre), Stauungsdermatitis, Dermatolipo(fascio)sklerose, Atrophie blanche
- Ulcus cruris venosum, arthrogenes Stauungssyndrom
Ulcus cruris
Hämangiom
Syn.: Blutschwamm
Benigne Gefäßfehlbildung
Formen:
- Kapilläres Hämangiom
- Kavernöses Hämangiom
- Trauben- bzw. beerenförmiges Hämangiom
- Sklerosierendes Hämangiom
- Haemangioma planotuberosum
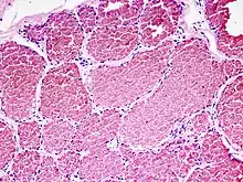
![]() Kapilläres Hämangiom der Haut, Hautbiopsie, H&E. |
![]() idem, stärkere Vergrößerung |
![]() Kavernöses Hämangiom der Leber, Resektat, H&E. |
Weblinks: DermIS - Hämangiom
Navigation
Main Page | Introduction in Pathology | Adjustment Reactions | Cell and Tissue Damage | Exogenic Noxa
Procedures of Tissue Preparation | Glossary | Resources |



_Victoria_blue-HE.jpg.webp)
.jpg.webp)
.jpg.webp)
.jpg.webp)
.jpg.webp)