Transplant glomerulopathy
Transplant glomerulopathy (TG) is a disease of the glomeruli in transplanted kidneys. It is a type of renal injury often associated with chronic antibody-mediated rejection. However, transplant glomerulopathy is not specific for chronic antibody-mediated rejection; it may be the result of a number of disease processes affecting the glomerular endothelium.[1]
| Transplant glomerulopathy | |
|---|---|
![]() | |
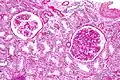
| Micrograph showing a glomerulus with changes characteristic of a transplant glomerulopathy. PAS stain. | |
| Specialty | Pathology |
Pathology
It is characterized by glomerular basement membrane thickening (referred to as tram-tracking of the basement membrane), increased mesangial matrix and segmental and global glomerulosclerosis.
The differential diagnosis of tram-tracking includes membranoproliferative glomerulonephritis (especially hepatitis C), and thrombotic microangiopathies.[1]
Intermed. mag.
High mag.
See also
References
- Haas, M. (Oct 2011). "Transplant glomerulopathy: it's not always about chronic rejection". Kidney Int. 80 (8): 801–3. doi:10.1038/ki.2011.192. PMID 21960169.
This article is issued from Wikipedia. The text is licensed under Creative Commons - Attribution - Sharealike. Additional terms may apply for the media files.
