Thanatophoric dysplasia
Thanatophoric dysplasia is a severe skeletal disorder characterized by a disproportionately small ribcage, extremely short limbs and folds of extra skin on the arms and legs.
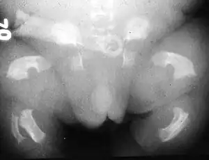
| Thanatophoric dysplasia | |
|---|---|
![]() | |
| Radiogram of a baby born with thanatophoric dwarfism | |
| Specialty | Medical genetics |
Symptoms and signs

Infants with this condition have disproportionately short arms and legs with extra folds of skin. Other signs of the disorder include a narrow chest, small ribs, underdeveloped lungs, and an enlarged head with a large forehead and prominent, wide-spaced eyes. Thanatophoric dysplasia is a lethal skeletal dysplasia divided into two subtypes. Type I is characterized by extreme rhizomelia, bowed long bones, narrow thorax, a relatively large head, normal trunk length and absent cloverleaf skull. The spine shows platyspondyly, the cranium has a short base, and, frequently, the foramen magnum is decreased in size. The forehead is prominent, and hypertelorism and a saddle nose may be present. Hands and feet are normal, but fingers are short. Type II is characterized by short, straight long bones and cloverleaf skull.[1] It presents with typical telephone-handle shaped long bones and H-shaped vertebrae.
Causes
It can be associated with missense mutations in fibroblast growth factor receptor-3. It is inherited in an autosomal dominant manner.[2][3]
While the condition can be inherited, most cases of thanatophoric dysplasia are caused by new mutations in people with no family history of the disorder. No individual with thanatophoric dysplasia is known to have had children, so the disorder has not been observed to have been passed down to the next generation. Thanatophoric dysplasia occurs in 1 in 20,000 to 50,000 newborns, and type I thanatophoric dysplasia is more common than type II thanatophoric dysplasia.[4]
Diagnosis
Classification
Infants with type 1 thanatophoric dysplasia also have curved thigh bones, flattened bones of the spine (platyspondyly) and shortened thoracic ribs. Note: Prenatal ultra-sound images of the ribs sometimes appear asymmetrical when in fact they are not. In certain cases, this has caused a misdiagnosis of Osteogenisis Imperfecta (OI) type II.
An unusual head shape called kleeblattschaedel ("cloverleaf skull") can be seen with type 2 thanatophoric dysplasia.[5]
Prognosis
The term thanatophoric is Greek for "death bearing". Children with this condition are usually stillborn or die shortly after birth from respiratory failure. A small number have survived into childhood, and a very few beyond. Survivors have difficulty breathing on their own and require respiratory support such as high flow oxygen through a canula or ventilator support via tracheostomy. There may also be evidence of spinal stenosis and seizures. The oldest known living TD survivor as of 2013 was a 29-year-old woman.[6] One man lived to be 26 years old. Another man lived to age 20. It was reported in 1998 that a 21 year old man with the condition lives in the United States, while two children with TD aged 10 and 12, a boy and a girl, were known in Germany. There was also a 6-year-old boy living with TD and two 1-year old boys.[7] As of 2022 Christopher Álvarez, 25, is a Colombian living with TD in New York City.[8]
Incidence
This condition affects about 1 in 60,000 births.[9]
References
- Norris, Cheryl D., George Tiller, Philippe Jeanty, Srini Malini (2008-12-12). "Thanatophoric dysplasia in monozygotic twins". TheFetus.net. Archived from the original on December 12, 2008. Retrieved 2016-03-01.
- Bonaventure J, Gibbs L, Horne WC, Baron R (2007). "The localization of FGFR3 mutations causing thanatophoric dysplasia type I differentially affects phosphorylation, processing and ubiquitylation of the receptor". FEBS J. 274 (12): 3078–93. doi:10.1111/j.1742-4658.2007.05835.x. PMID 17509076.
- Lievens PM, Liboi E (2003). "The thanatophoric dysplasia type II mutation hampers complete maturation of fibroblast growth factor receptor 3 (FGFR3), which activates signal transducer and activator of transcription 1 (STAT1) from the endoplasmic reticulum". J. Biol. Chem. 278 (19): 17344–9. doi:10.1074/jbc.M212710200. PMID 12624096.
- "Thanatophoric dysplasia". MedlinePlus. Retrieved 26 February 2023.
- Norman AM, Rimmer S, Landy S, Donnai D (1992). "Thanatophoric dysplasia of the straight-bone type (type 2)". Clin. Dysmorphol. 1 (2): 115–20. doi:10.1097/00019605-199204000-00008. PMID 1345514.
- Nikkel, Sarah M.; Major, Nathalie; King, W. James (2013-12-01). "Growth and development in thanatophoric dysplasia – an update 25 years later". Clinical Case Reports. 1 (2): 75–78. doi:10.1002/ccr3.29. ISSN 2050-0904. PMC 4184754. PMID 25356217.
- Baker, K. M.; Olson, D. S.; Harding, C. O.; Pauli, R. M. (1997). "Long-term survival in typical thanatophoric dysplasia type 1". American Journal of Medical Genetics. 70 (4): 427–436. doi:10.1002/(SICI)1096-8628(19970627)70:4<427::AID-AJMG18>3.0.CO;2-J. PMID 9182787.
- "New Scholarship Helps Adelphi Students Who Face the Biggest Challenges". Adelphi University. 6 August 2019. Retrieved 1 February 2021.
- Vajo, Zoltan; Francomano CA; Wilkin DJ (2000). "The molecular and genetic basis of fibroblast growth factor receptor 3 disorders: the achondroplasia family of skeletal dysplasias, Muenke craniosynostosis, and Crouzon syndrome with acanthosis nigricans". Endocr. Rev. 21 (1): 23–39. doi:10.1210/edrv.21.1.0387. PMID 10696568. S2CID 43581040.
External links
- GeneReview/NCBI/NIH/UW entry on Thanatophoric Dysplasia
- Thanatophoric dysplasia at NLM Genetics Home Reference
