Balanitis plasmacellularis
Balanitis plasmacellularis is a cutaneous condition characterized by a benign inflammatory skin lesion characterized histologically by a plasma cell infiltrate.[2]: 657 [3]
| Balanitis plasmacellularis | |
|---|---|
| Other names | Balanoposthitis chronica circumscripta plasmacellularis, Balanitis circumscripta plasmacellularis,[1] Plasma cell balanitis, Plasma cell vulvitis, Vulvitis circumscripta plasmacellularis, Zoon's balanitis, Zoon's erythroplasia, Zoon's vulvitis |
![]() | |
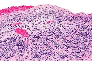
| Micrograph of plasmacytosis mucosae. H&E stain. | |
| Specialty | Dermatology |
A similar condition has been described in women (i.e. "Zoon's vulvitis"),[4] although its existence is controversial due to the possibility of diagnostic error in many of the cases that have been reported in the medical literature.[3]
It is named for J.J. Zoon, who characterized it in 1952.[5]
See also
References
- Davis DA, Cohen PR (February 1995). "Balanitis circumscripta plasmacellularis". J. Urol. 153 (2): 424–6. doi:10.1097/00005392-199502000-00043. PMID 7815607.
- James, William D.; Berger, Timothy G.; et al. (2006). Andrews' Diseases of the Skin: clinical Dermatology. Saunders Elsevier. ISBN 0-7216-2921-0.
- Rapini, Ronald P.; Bolognia, Jean L.; Jorizzo, Joseph L. (2007). Dermatology: 2-Volume Set. St. Louis: Mosby. pp. Chapter 72. ISBN 978-1-4160-2999-1.
- Neri I, Patrizi A, Marzaduri S, Marini R, Negosanti M (October 1995). "Vulvitis plasmacellularis: two new cases". Genitourin Med. 71 (5): 311–3. doi:10.1136/sti.71.5.311. PMC 1195548. PMID 7490049.
- Zoon JJ (1952). "[Chronic benign circumscript plasmocytic balanoposthitis.]". Dermatologica. 105 (1): 1–7. doi:10.1159/000256880. PMID 12979576.
External links
This article is issued from Wikipedia. The text is licensed under Creative Commons - Attribution - Sharealike. Additional terms may apply for the media files.
