Linear focal elastosis
Linear focal elastosis or elastotic striae is a skin condition that presents with asymptomatic, palpable or atrophic, yellow lines of the middle and lower back, thighs, arms and breasts.[2]
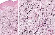
Histopathology: Accumulation of fragmented elastotic material within the papillary dermis and transcutaneous elimination of elastotic fibers.[3]
| Linear focal elastosis | |
|---|---|
| Other names | Linear focal dermal elastosis Elastotic striae[1] |
![]() | |
See also
References
- "Orphanet: Linear focal elastosis". www.orpha.net. Retrieved 20 April 2019.
- James, William; Berger, Timothy; Elston, Dirk (2005). Andrews' Diseases of the Skin: Clinical Dermatology. (10th ed.). Saunders. Page 517. ISBN 0-7216-2921-0.
- Hosen, Mohammad J.; Lamoen, Anouck; De Paepe, Anne; Vanakker, Olivier M. (2012). "Histopathology of Pseudoxanthoma Elasticum and Related Disorders: Histological Hallmarks and Diagnostic Clues". Scientifica. 2012: 1–15. doi:10.6064/2012/598262. ISSN 2090-908X.
-Creative Commons Attribution 3.0 Unported license
External links
This article is issued from Wikipedia. The text is licensed under Creative Commons - Attribution - Sharealike. Additional terms may apply for the media files.
