Hydropneumothorax
Hydropneumothorax is defined as the presence of both air and fluid within the pleural space.[1] An upright chest x-ray will show air fluid levels. The horizontal fluid level is usually well defined and extends across the whole length of one of the hemithorax.
| Hydropneumothorax | |
|---|---|
![]() | |
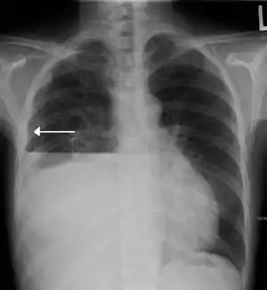
| A hydropneumothorax with a white arrow pointing to the lung's pleura | |
| Specialty | Emergency medicine |
Signs and symptoms
This can be remembered by the 4 'S': straight line dullness, shifting dullness, splash, sound of coin.
Causes
- Iatrogenic: Introduction of air during pleural fluid aspiration in effusion
- Presence of a gas-forming organism
- Thoracic trauma
Diagnosis
Diagnosis can be via CXR. CT is better to outline borders of air fluid levels, however, CT has a greater radiation exposure.
Treatment
Treatment includes ICD (intercostal drainage) of fluid and air and treatment of underlying conditions.
References
- Clarke, Christopher; Dux, Anthony (2017). Chest X-rays for Medical Students. John Wiley & Sons. p. 82. ISBN 9781119426721. Retrieved 6 November 2017.
External links
This article is issued from Wikipedia. The text is licensed under Creative Commons - Attribution - Sharealike. Additional terms may apply for the media files.
