Chorangiosis
Chorangiosis is a placental pathology characterized by an abundance of blood vessels within the chorionic villi.
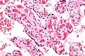
| Chorangiosis | |
|---|---|
![]() | |
| Micrograph of a chorangiosis. H&E stain. | |
| Specialty | Pathology |
Associations
It is associated with gestational diabetes,[1] smoking and high altitude.
Diagnosis
It is diagnosed by a microscopic examination of the placenta.
Commonly used criteria from Altshuler[2][3] are: "a minimum of 10 villi, each with 10 or more vascular channels, in 10 or more areas of 3 or more random, non-infarcted placental areas when using a ×10 ocular." The Altshuler criteria are not theoretically rigorous, as they do not define the area. Normal villi have up to five vascular channels.[3]
See also
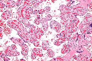
Additional images
Intermed. mag.
Very high mag.
References
- Daskalakis, G.; Marinopoulos, S.; Krielesi, V.; Papapanagiotou, A.; Papantoniou, N.; Mesogitis, S.; Antsaklis, A. (2008). "Placental pathology in women with gestational diabetes". Acta Obstet Gynecol Scand. 87 (4): 403–7. doi:10.1080/00016340801908783. PMID 18382864. S2CID 43058233.
- Altshuler, G. (Jan 1984). "Chorangiosis. An important placental sign of neonatal morbidity and mortality". Arch Pathol Lab Med. 108 (1): 71–4. PMID 6546343.
- De La Ossa, MM.; Cabello-Inchausti, B.; Robinson, MJ. (Sep 2001). "Placental chorangiosis". Arch Pathol Lab Med. 125 (9): 1258. doi:10.5858/2001-125-1258-PC. PMID 11520290.
External links
This article is issued from Wikipedia. The text is licensed under Creative Commons - Attribution - Sharealike. Additional terms may apply for the media files.
