< Radiation Oncology
Epidemiology
- 10-20% CNS tumors in children
- 5% CNS tumors in adults
Subtypes
Diffuse brainstem glioma
- Usually located in the pons.
- Generally high grade (WHO III/IV).
- Locally invasive.
- Universally poor prognosis (median survival <1 yr).
- 80% brainstem gliomas.
Focal brainstem glioma
- Located in medulla or midbrain.
- Low grade.
- Well circumscribed without local infiltration or edema.
- Significant proportion can have long term survival.
- 15-20% brainstem gliomas.
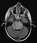
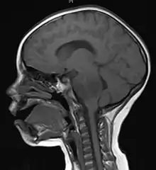
Anatomy
- Brainstem Glioma


Treatment
- Diffuse brainstem glioma - treated with steroids and RT/temodar like a high grade astrocytoma.
- Hyperfractionation has been extensively studied and does not appear to benefit.
- Focal brainstem glioma
- Tectal glioma treated with CSF diversion and observation.
- Tegmental glioma treated with surgical resection.
- Dorsal exophytic focal brainstem glioma treated with surgical resection.
- Medullary focal brainstem glioma often treated with RT.
Radiation Therapy for Diffuse Brainstem Glioma
- Nijmegen, Netherlands; 2009 PMID 18990510 -- "The role of hypofractionation radiotherapy for diffuse intrinsic brainstem glioma in children: a pilot study." (Janssens GO, Int J Radiat Oncol Biol Phys. 2009 Mar 1;73(3):722-6. Epub 2008 Nov 5.)
- Prospective. 9 children, diffuse brainstem glioma. RT 39/13. Mean F/U 15 months
- Outcome: Median OS 8.6 months, median TTP 4.9 months; both comparable to "standard" regimens
- Toxicity: No Grade 3-4
- Conclusion: Radical hypofractionation feasible, offers quick relief with minimal overall treatment time
- Harvard; 2003 (1990-96) - PMID 12654425 -- Marcus KJ et al. "A phase I trial of etanidazole and hyperfractionated radiotherapy in children with diffuse brainstem glioma." Int J Radiat Oncol Biol Phys. 2003 Apr 1;55(5):1182-5.
- 18 pts w/ brainstem glioma tx'd w/ etanidazole + hyperfractionated RT on dose escalation protocol. (66 Gy in 1.5 BID to 1st 3 pts, 63 Gy in 1.5 BID to next 15).
- 3 grade 3 toxicities (skin, 1 vomiting)
- Median survival 8.5 mo
- Conclusion: dose limiting toxicity of etanidazole in childhood pt was rash (compared to adults when it is peripheral neurophathy).
- POG 9239, 1999 (1992-97) - PMID 10192340 -- Mandell LR et al. "There is no role for hyperfractionated radiotherapy in the management of children with newly diagnosed diffuse intrinsic brainstem tumors: results of a Pediatric Oncology Group phase III trial comparing conventional vs. hyperfractionated radiotherapy." Int J Radiat Oncol Biol Phys. 1999 Mar 15;43(5):959-64.
- 130 pts w/ diffuse brainstem glioma tx'd w/ concurrent cisplatin and randomized to hyperfractionated RT (117 cGy BID to 70.2 Gy) vs conventional RT (180 cGy qD to 54 Gy).
- OS at 1 yr was 30.9% (conventional) vs 27% (HF); OS at 2 yrs was 7.1% (conventional) vs 6.7% (HF)
- Median time to progression was 6 mo's (conventional) vs 5 mo's (HF).
- Conclusion: no benefit to hyperfractionated RT for diffuse brainstem glioma.
- Egypt, 2012 (2007-11) - Abstract 2012 -- Zaghloul M et al. "Hypofractionated radiotherapy for pediatric diffuse intrinsic pontine glioma (DIPG): A prospective controlled randomized trial" Neuro Oncol (2012) 14 (suppl 1): i26-i32.
- 64 pts w/ diffuse brainstem glioma randomized to conventional RT (55.8 Gy / 1.8 Gy) vs. hyporfractionated RT (39 Gy / 3 Gy).
- OS at 1 yr was 36.2% (conventional) vs 41.4% (hypofractionated); OS at 2 yrs was 32.3% (conventional) vs 28.4% (hypofractionated)
- Median time to progression was 7.7 mo's (conventional) vs 7.0 mo's (hypofractionated).
- Improvement in symptoms in both arms, earlier response in hypofractionated arm.
- Conclusion: hypofractionated RT for diffuse brainstem glioma offers similar PFS and OS as conventional RT with faster response and less burden for patients/families/clinic
This article is issued from Wikibooks. The text is licensed under Creative Commons - Attribution - Sharealike. Additional terms may apply for the media files.